Clínica Dental en Álora | Rebollo Dentistas y Especialistas en Salud Bucal

Caso 3

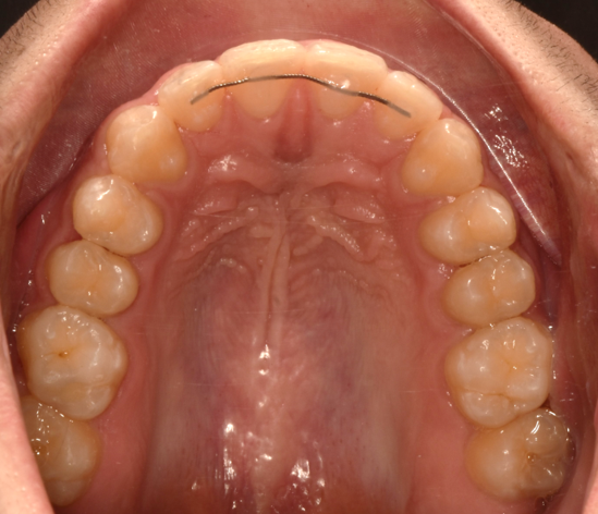
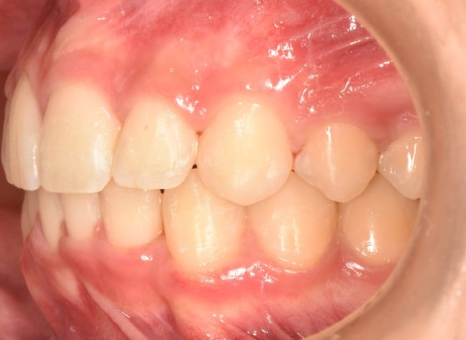
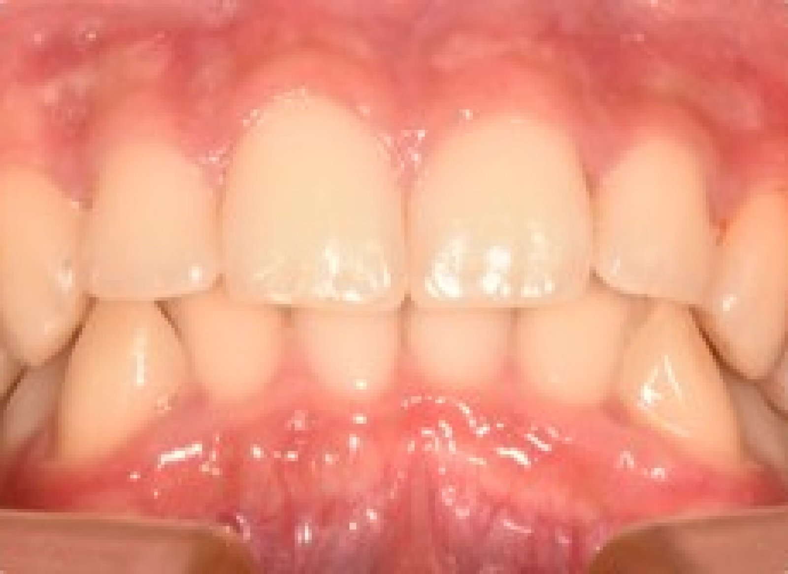
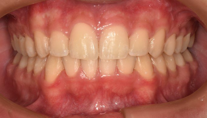
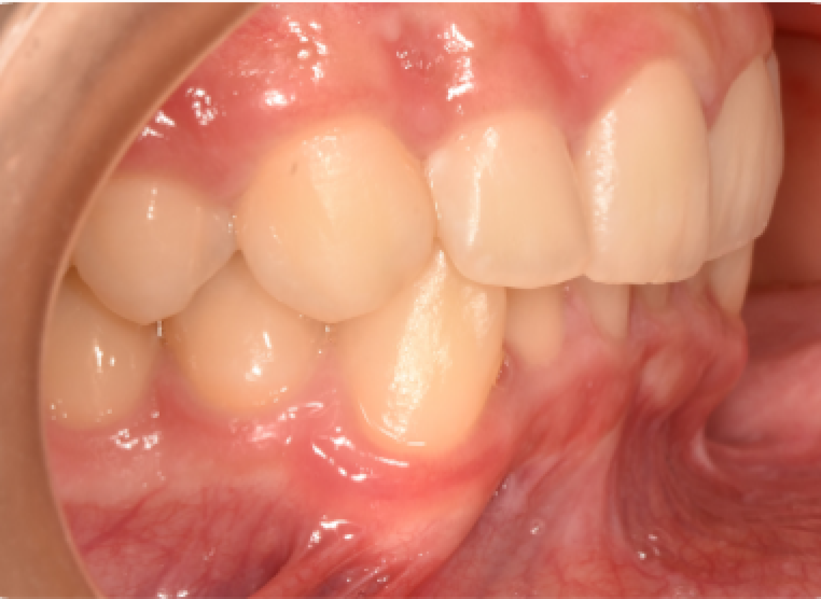
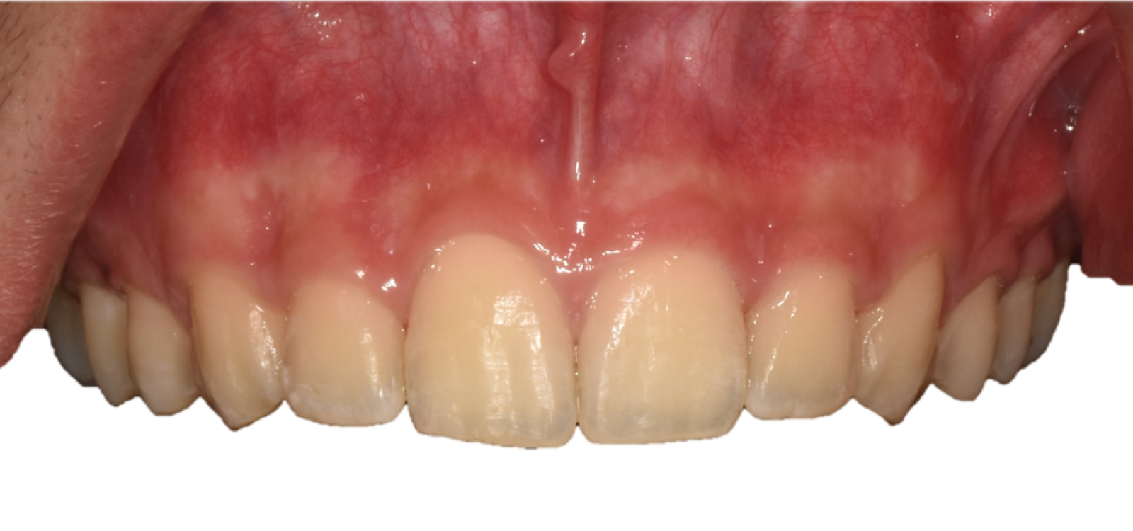
Antes de comenzar el tratamiento:

Durante el tratamiento:

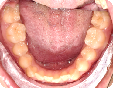
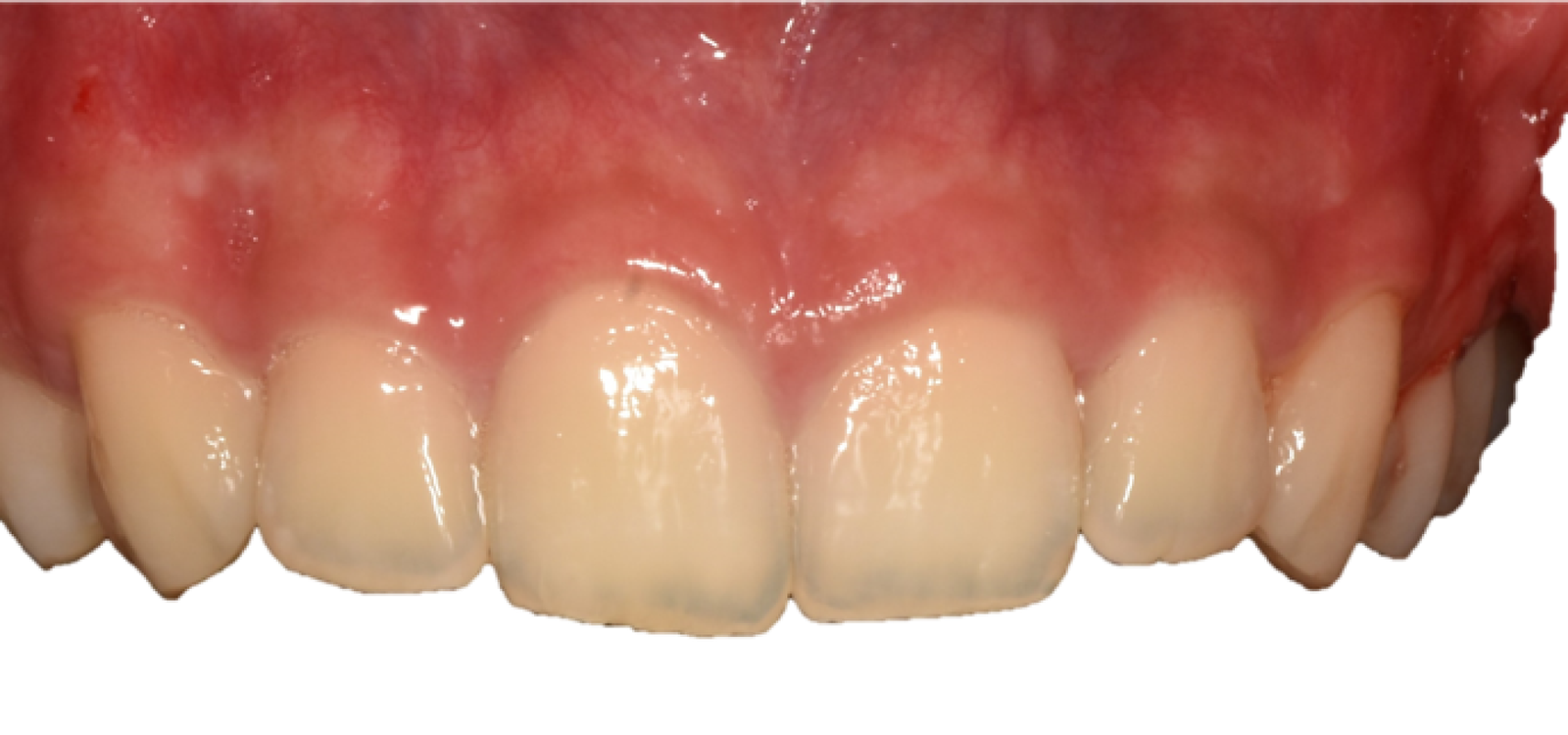
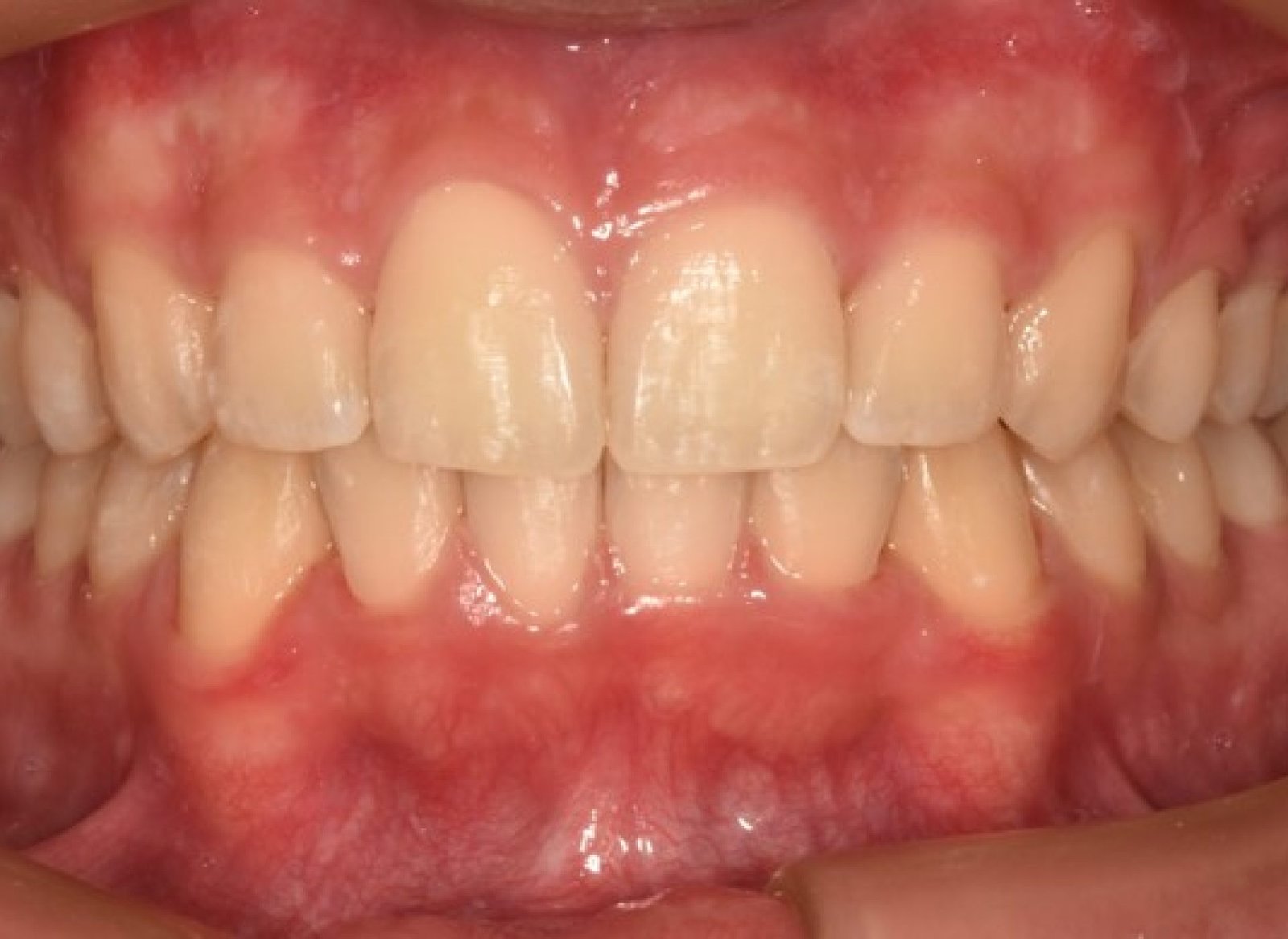
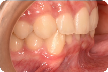
Final del tratamiento:

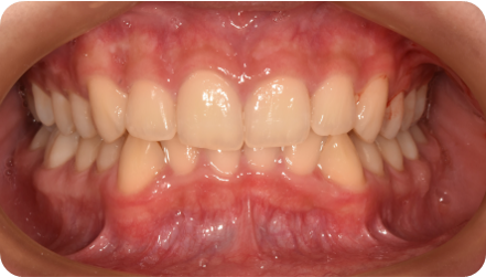
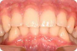
Comparativas - Antes:

Imagen10
Imagen12
Imagen11

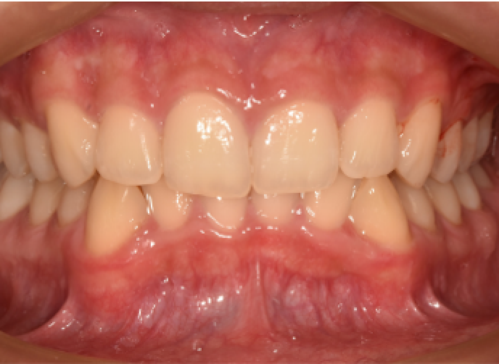
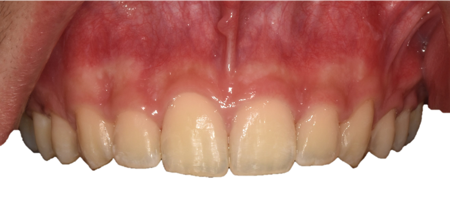
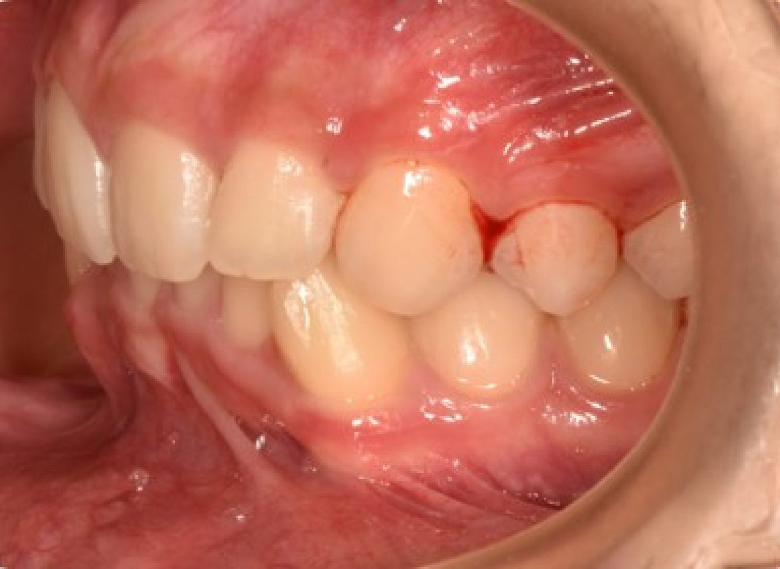
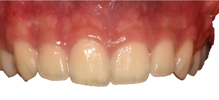
Después:

Imagen23
Imagen20
Imagen21

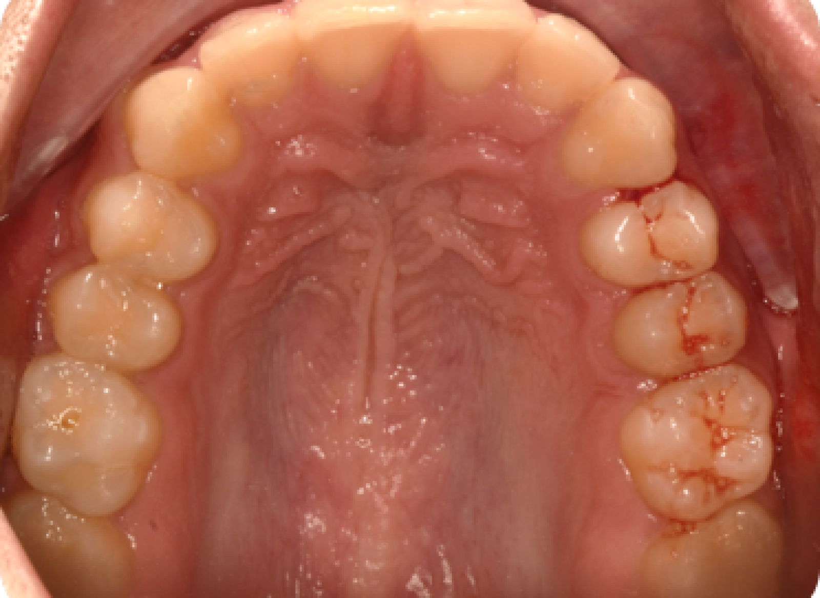
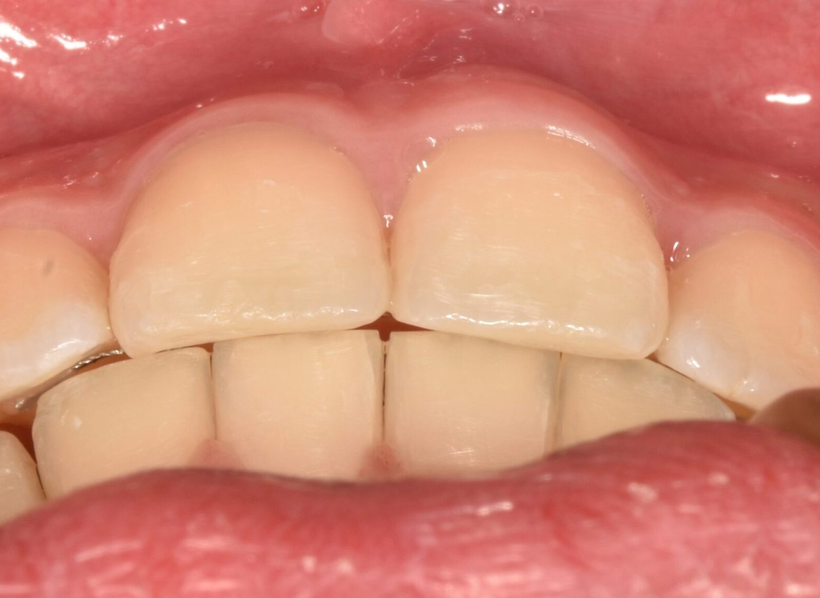
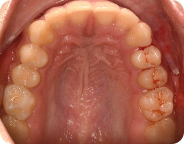
Antes:

Imagen8
Imagen9
Imagen6

Después:

Imagen19
Imagen22

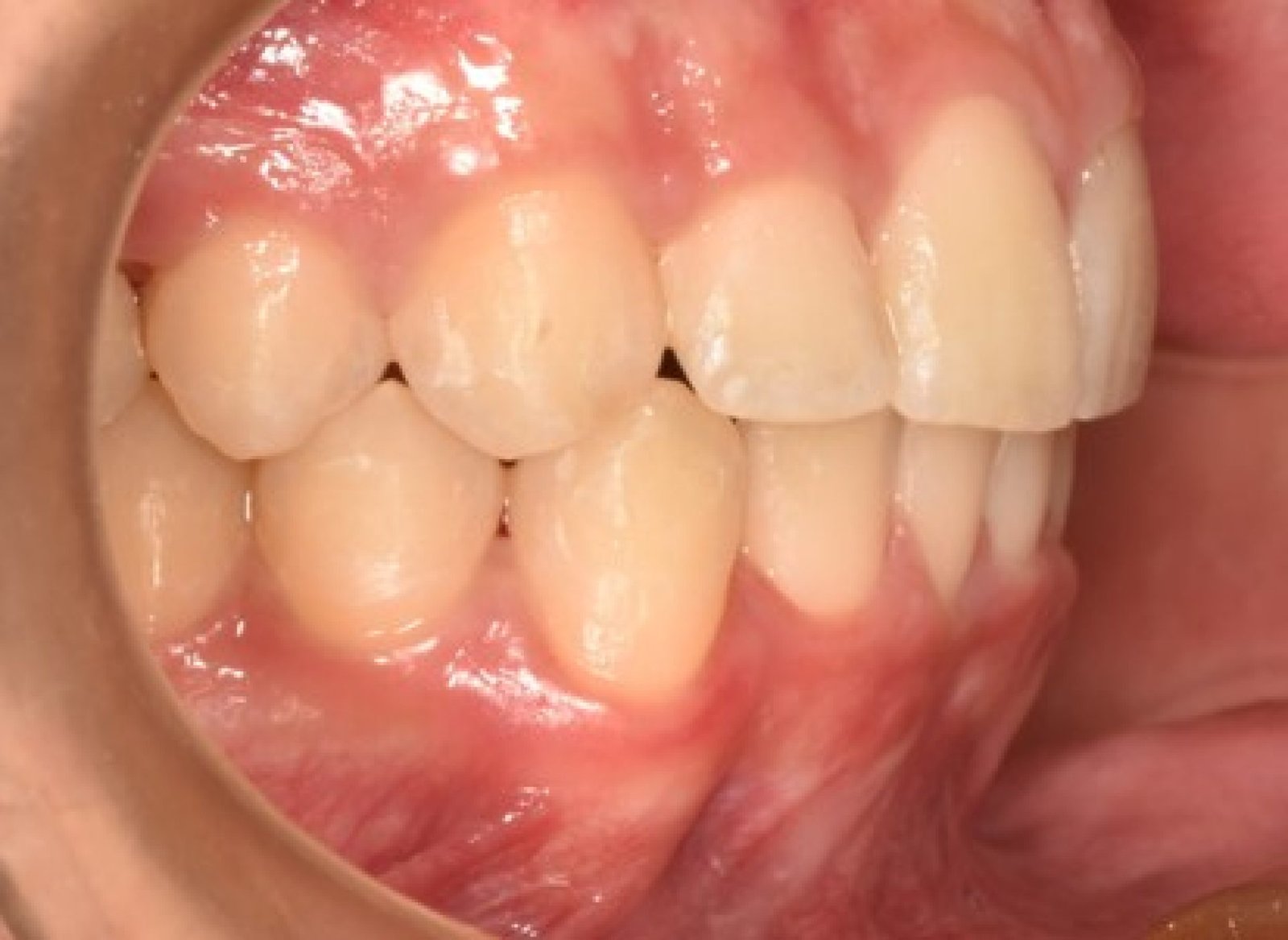
Antes:

Imagen26

Después:

Imagen25

¿No sabes por dónde empezar?

En Clínica Dental Rebollo te ayudamos a encontrar el tratamiento ideal para ti.
Ya sea que necesites una revisión, ortodoncia invisible, o mejorar la estética de tu sonrisa, estamos aquí para asesorarte.