Clínica Dental en Álora | Rebollo Dentistas y Especialistas en Salud Bucal

Caso 2

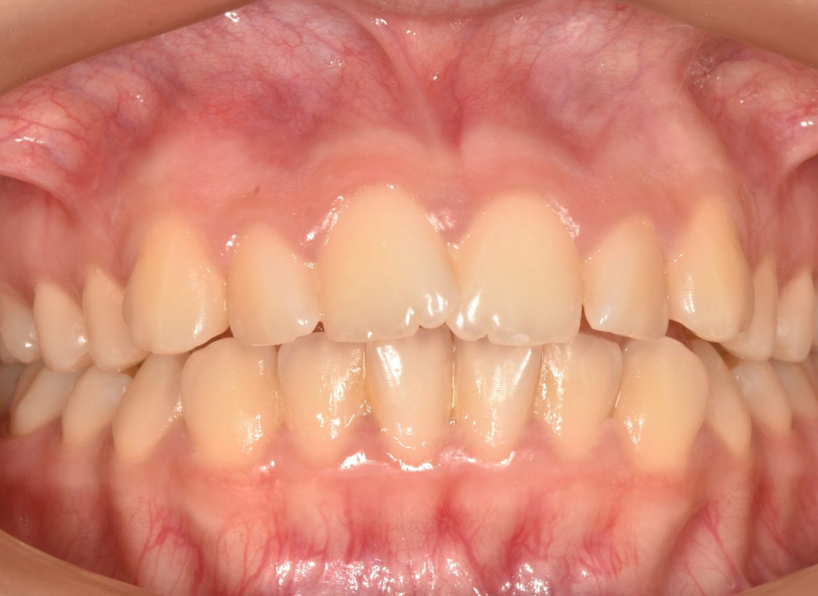
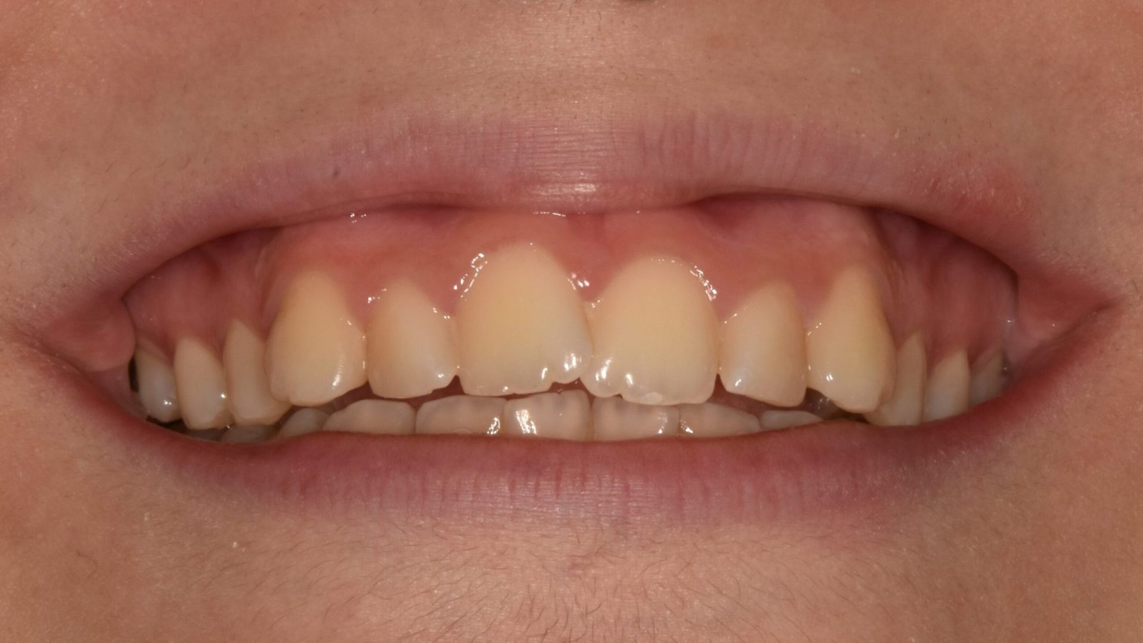
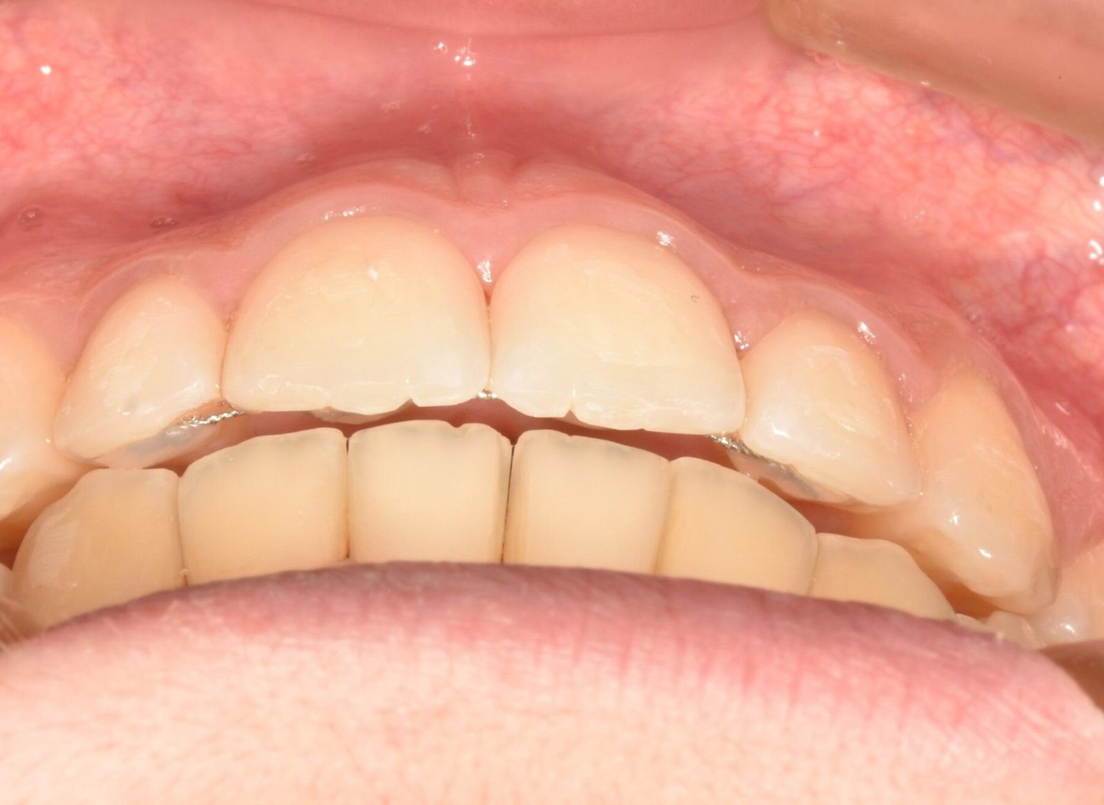
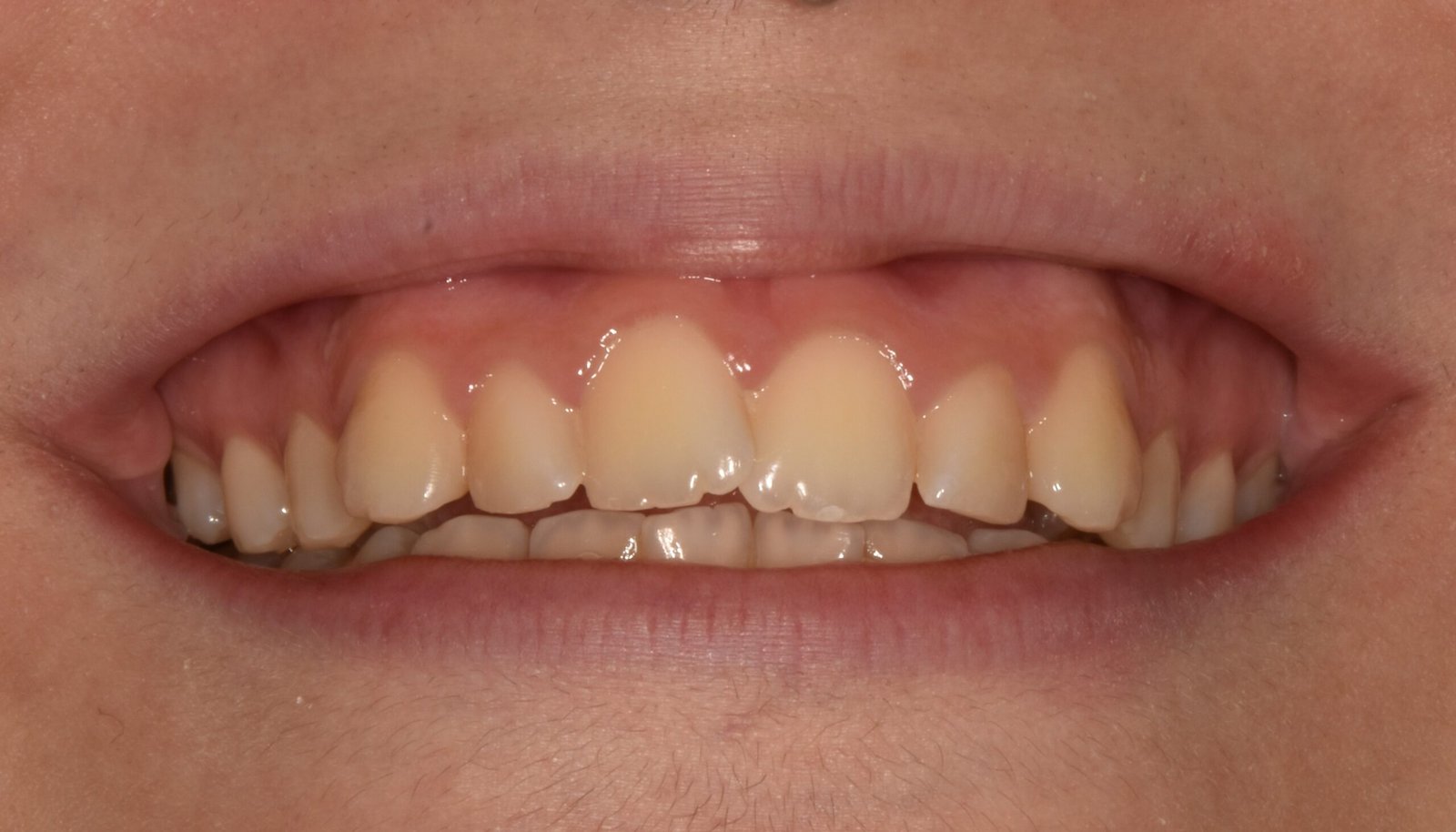
Antes de comenzar el tratamiento:

Durante el tratamiento:

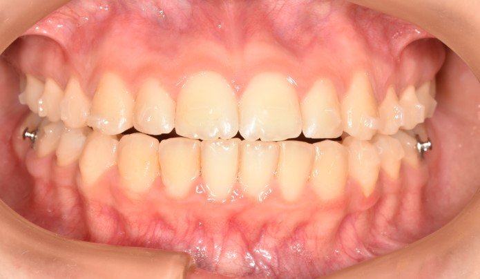
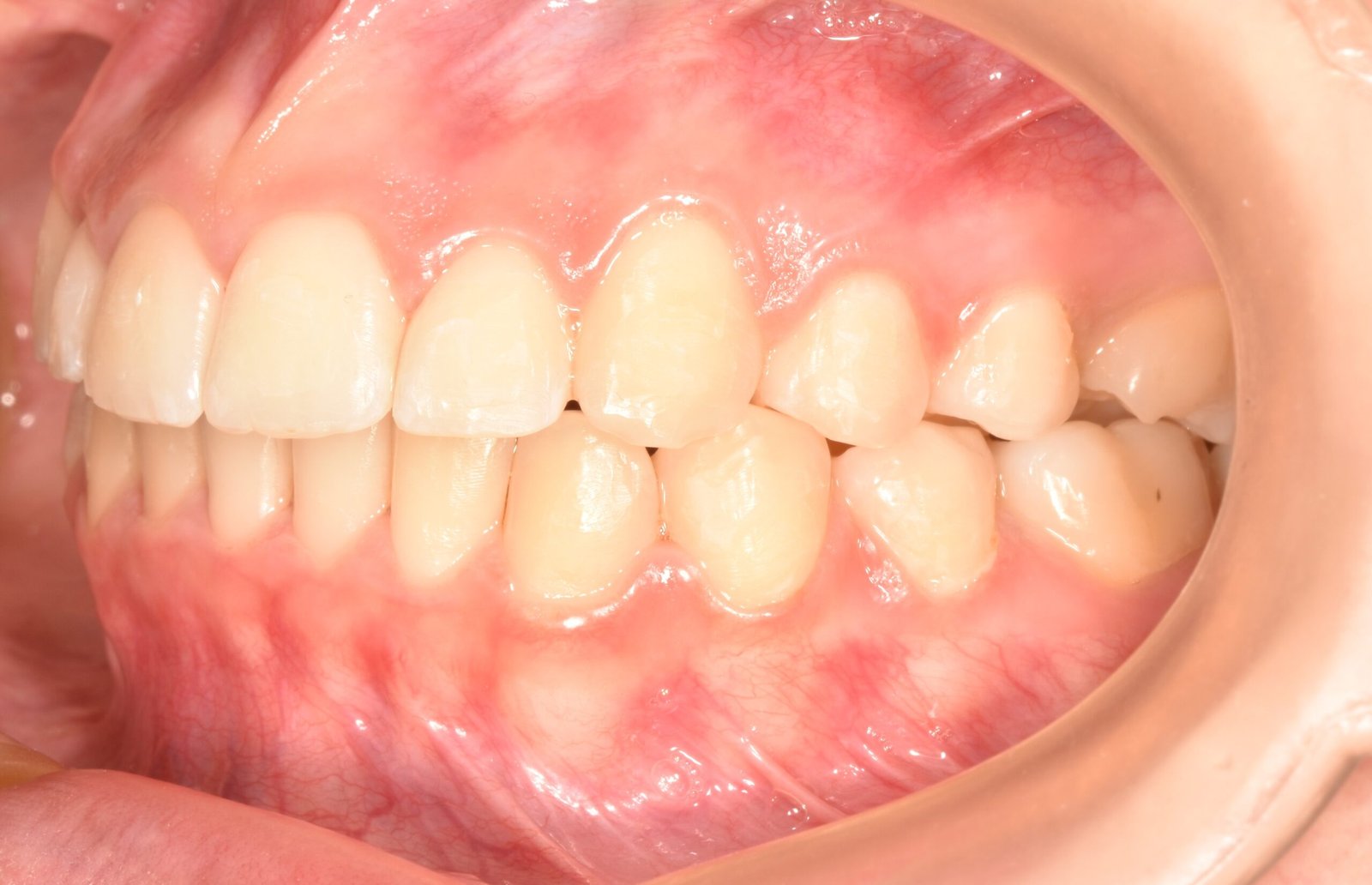
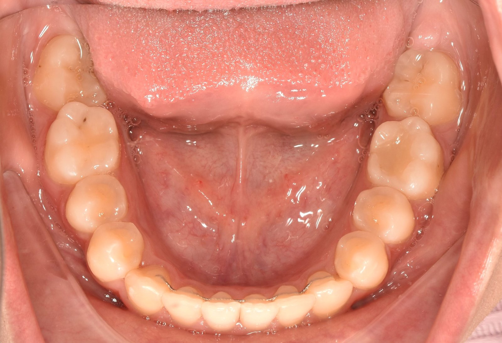
Final del tratamiento:

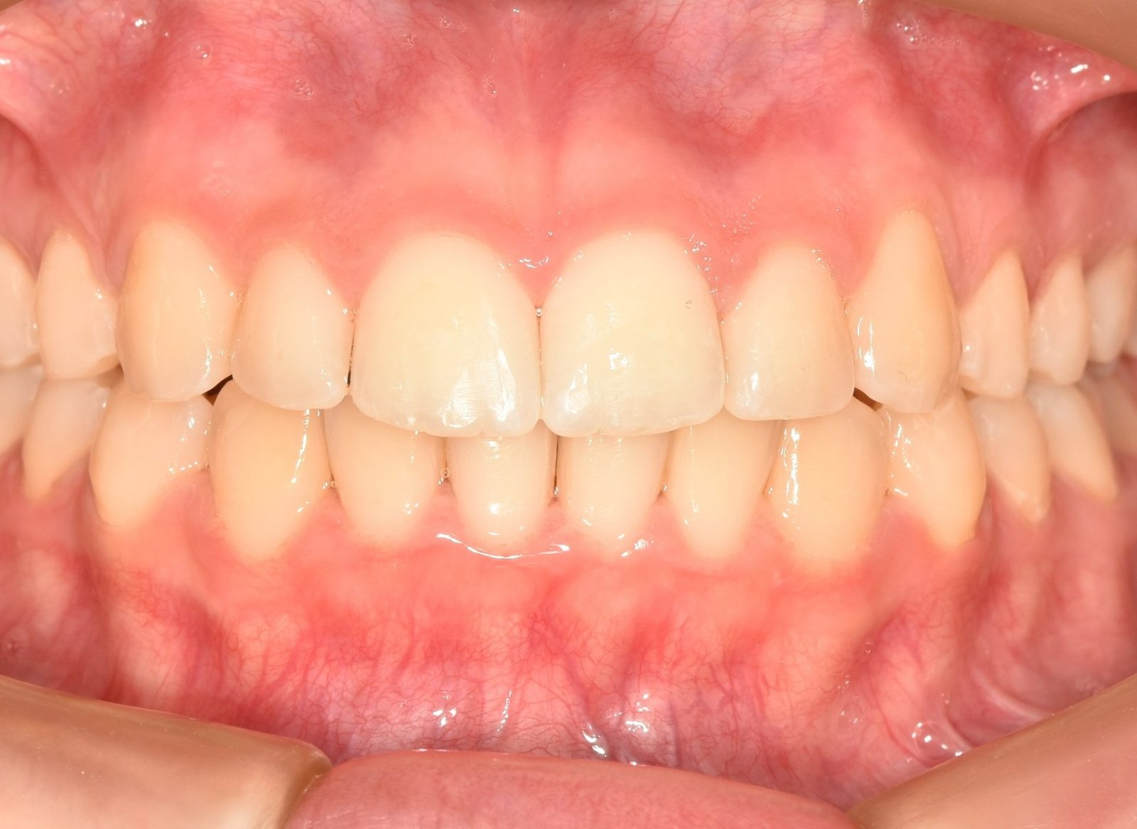
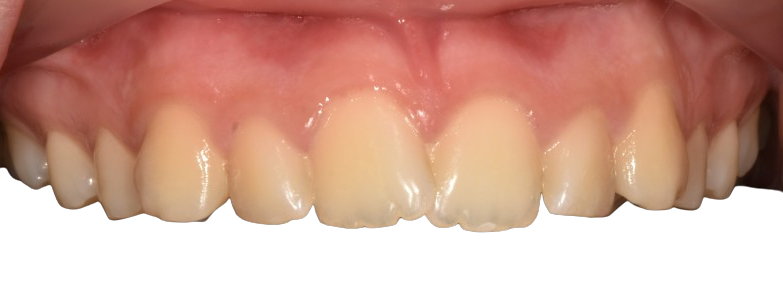
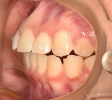
Comparativas - Antes:

DSC_0005
DSC_0001
DSC_0004

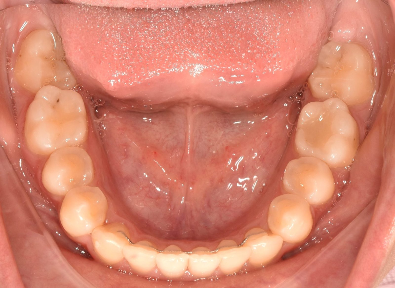
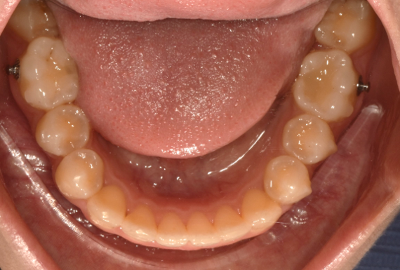
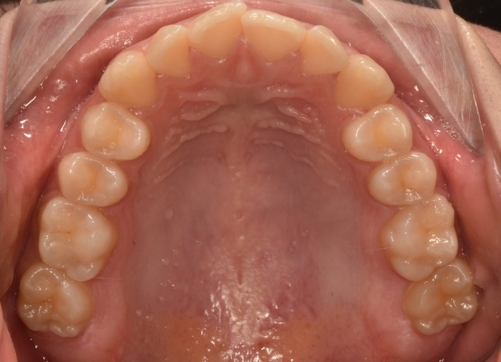
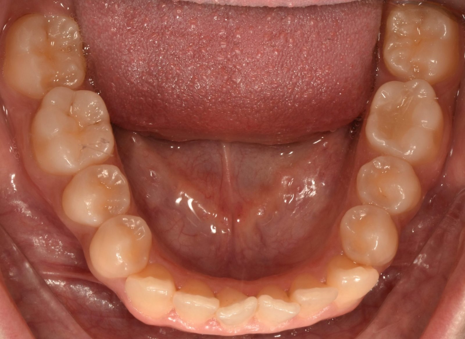
Después:

DSC_0024
3EB007713E10F992CFB8DE
DSC_0032

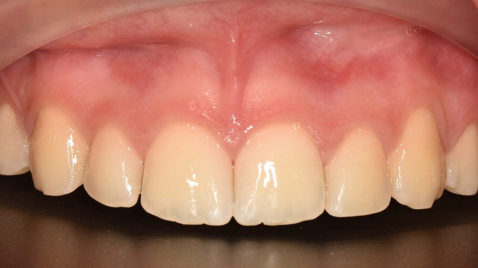
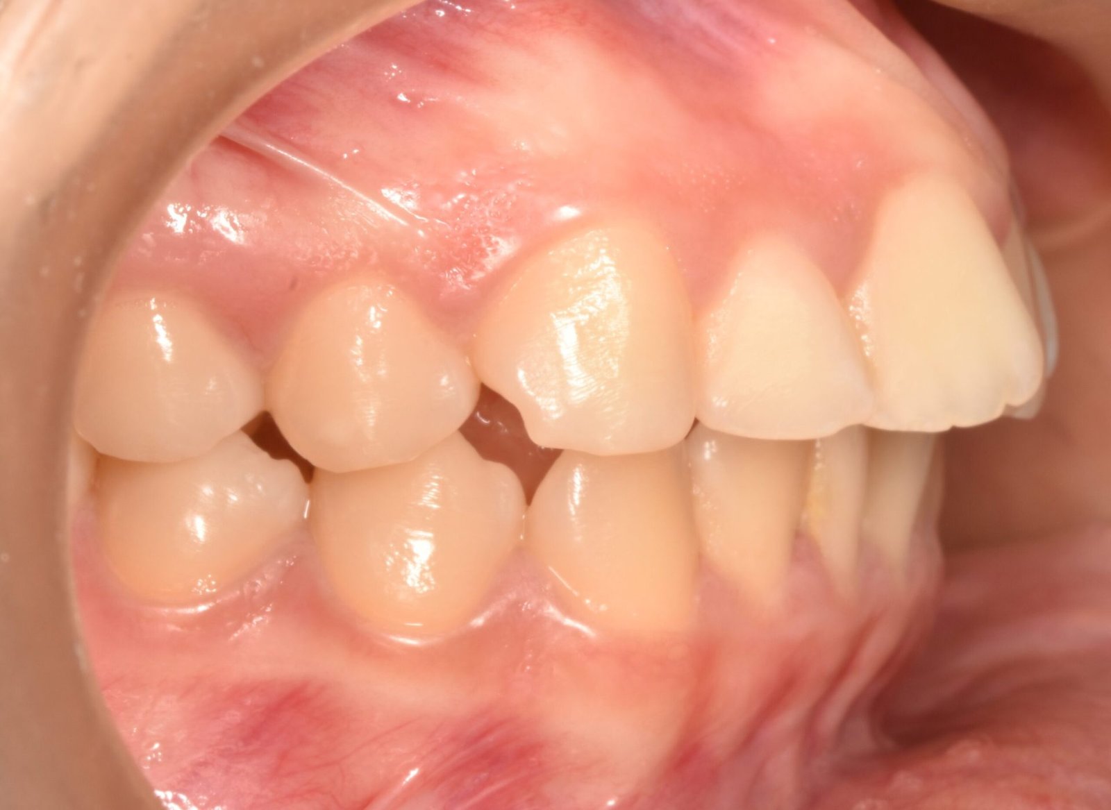
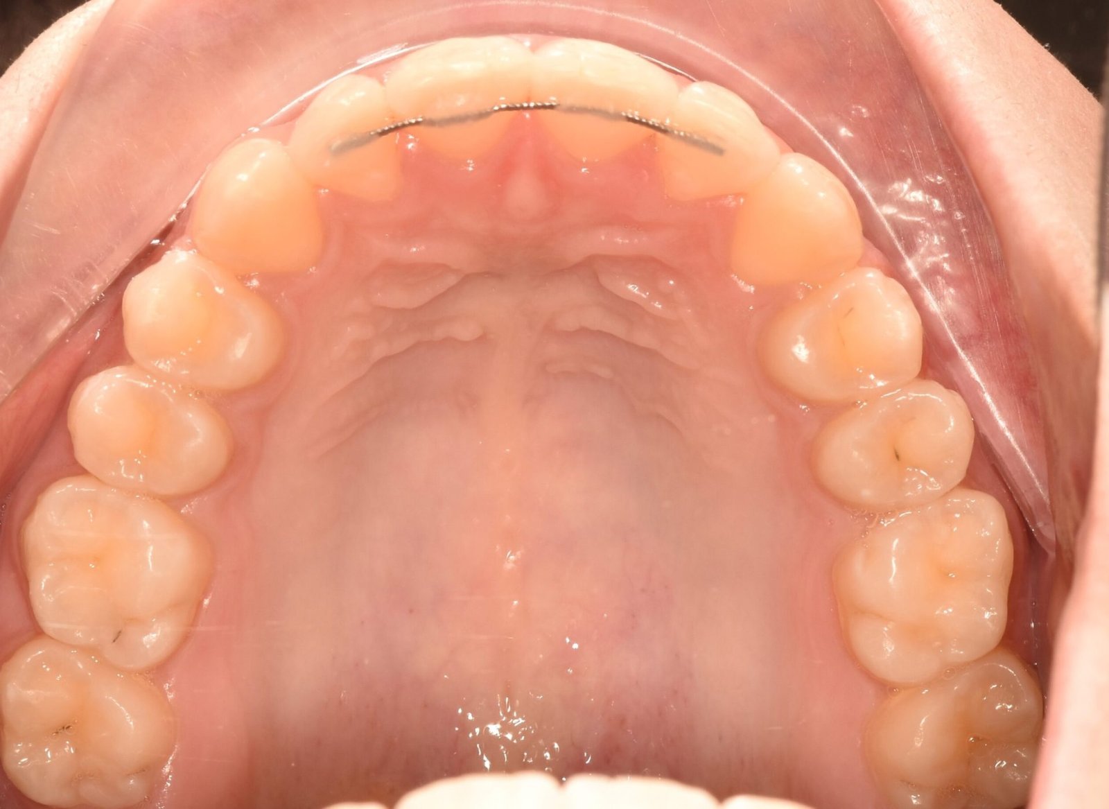
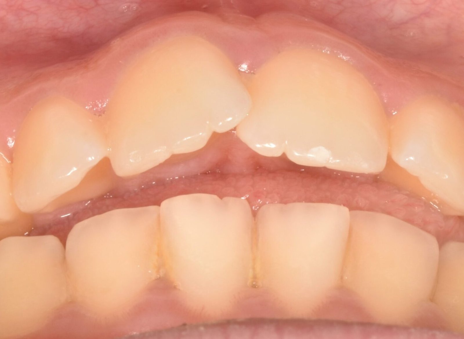
Antes:

DSC_0012
DSC_0002
DSC_0013

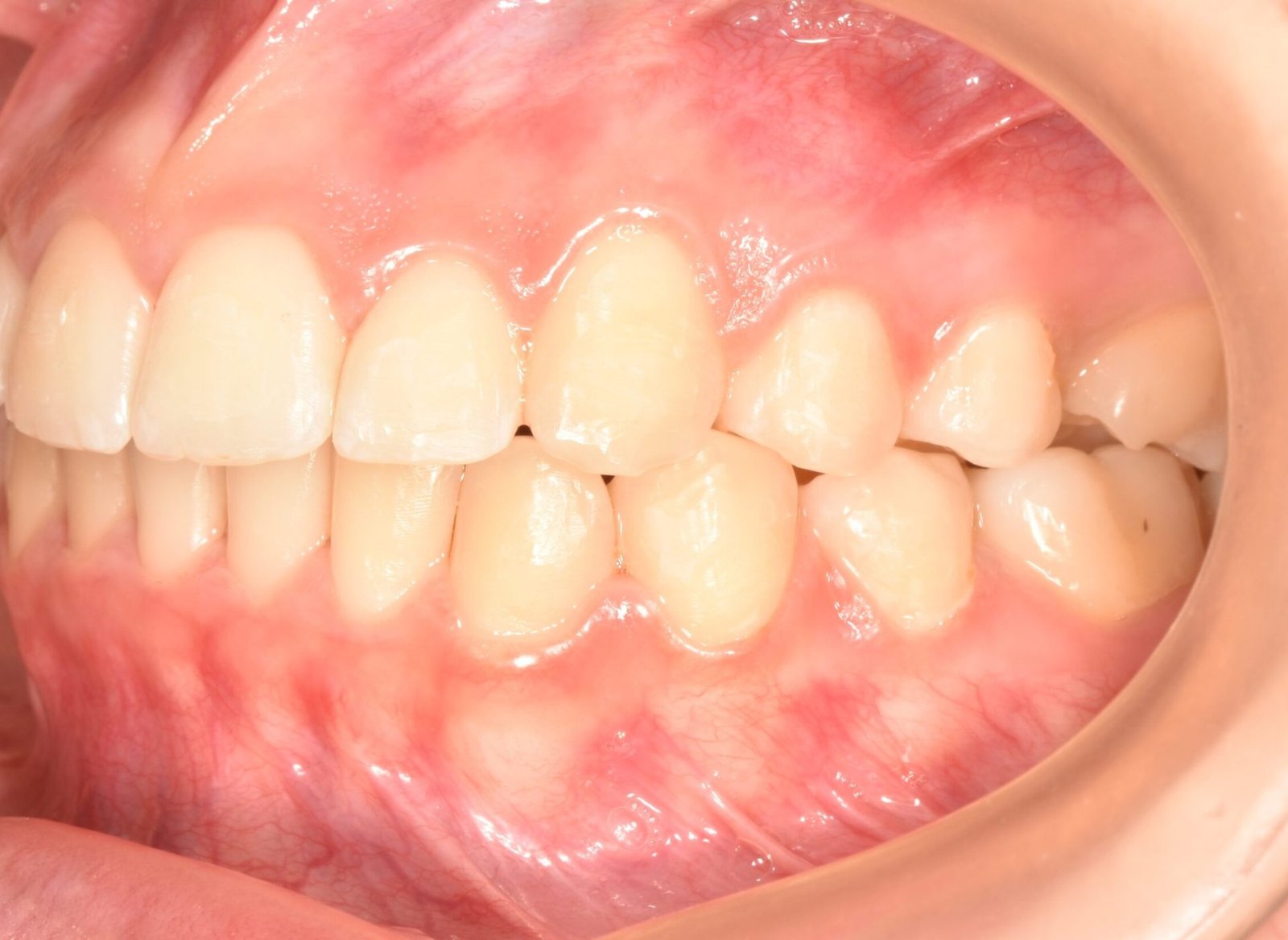
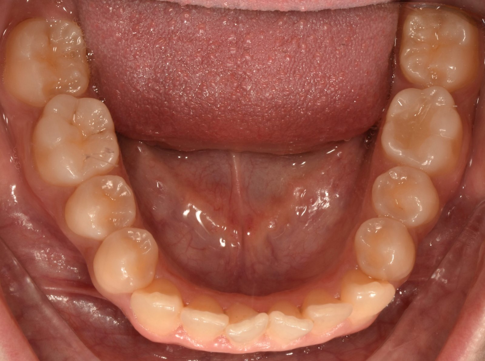
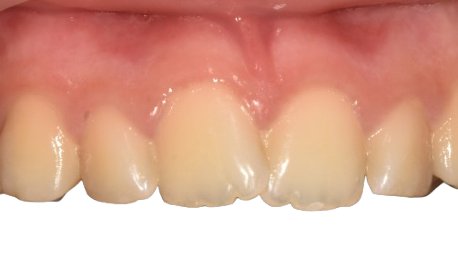
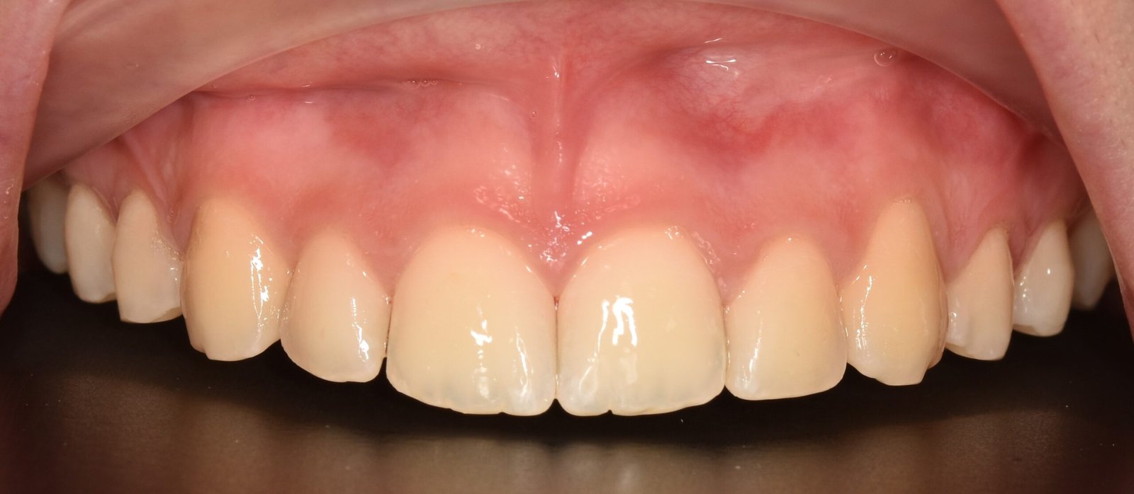
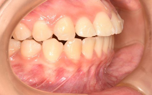
Después:

DSC_0009
DSC_0011

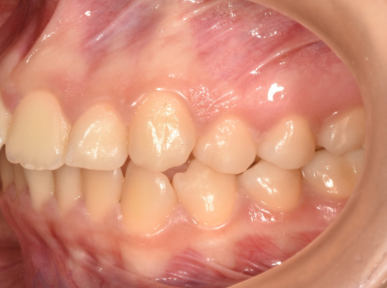
Antes:

DSC_0007
DSC_0006-removebg-preview

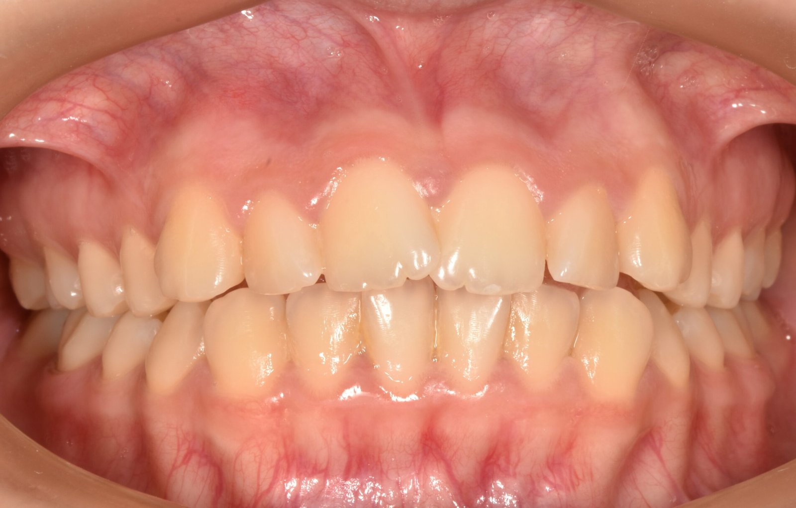
Después:

DSC_0014
DSC_0001

¿No sabes por dónde empezar?

En Clínica Dental Rebollo te ayudamos a encontrar el tratamiento ideal para ti.
Ya sea que necesites una revisión, ortodoncia invisible, o mejorar la estética de tu sonrisa, estamos aquí para asesorarte.