Clínica Dental en Álora | Rebollo Dentistas y Especialistas en Salud Bucal

Caso 1

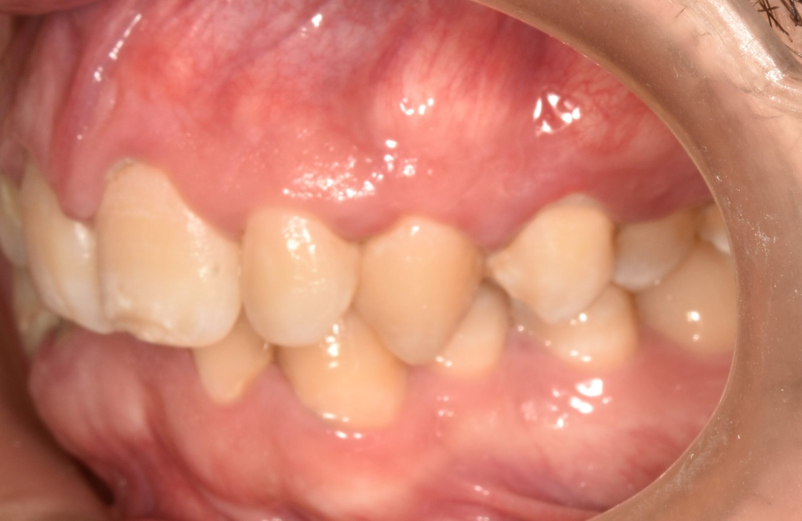
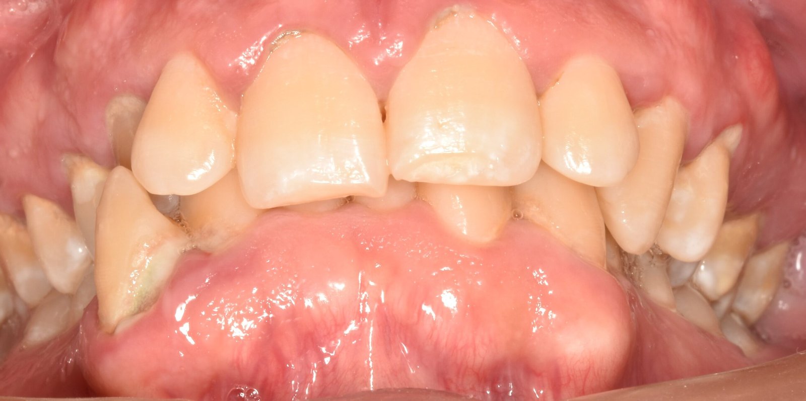
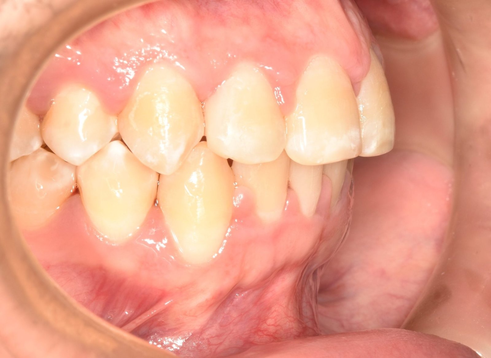
Antes de comenzar el tratamiento:

Durante el tratamiento:

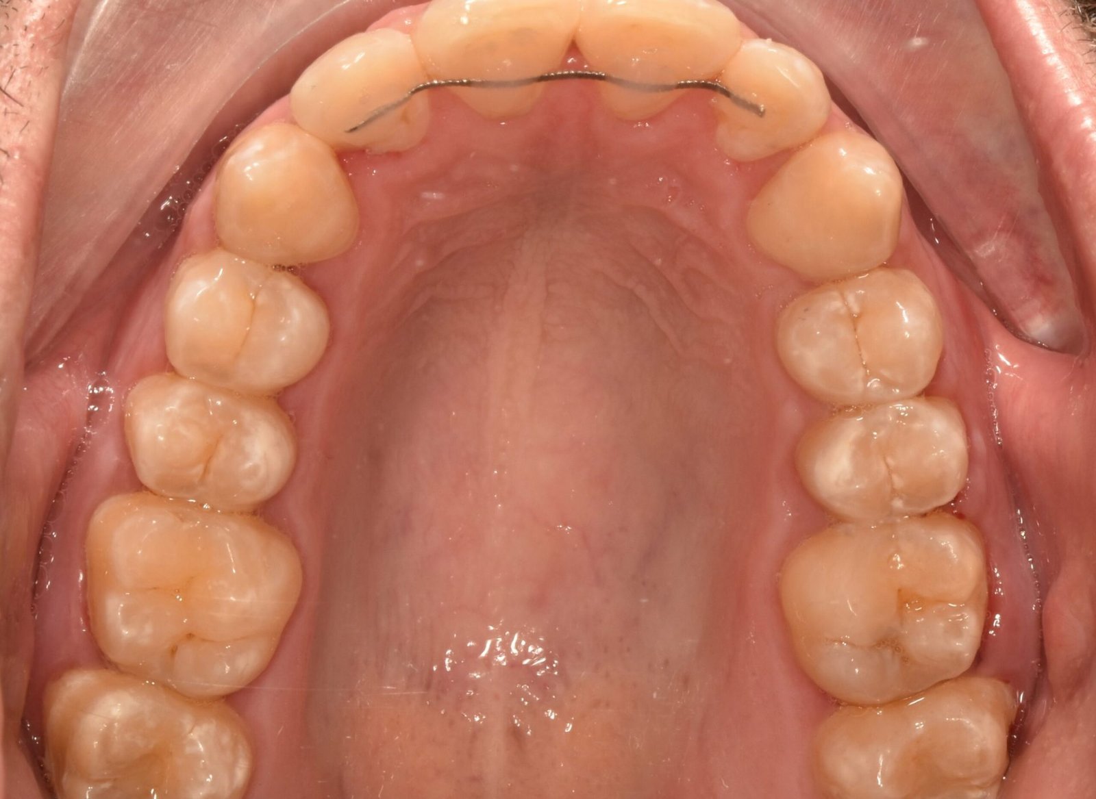
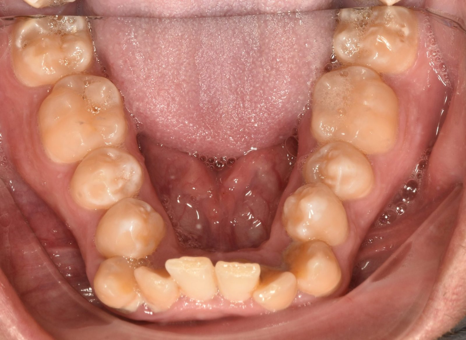
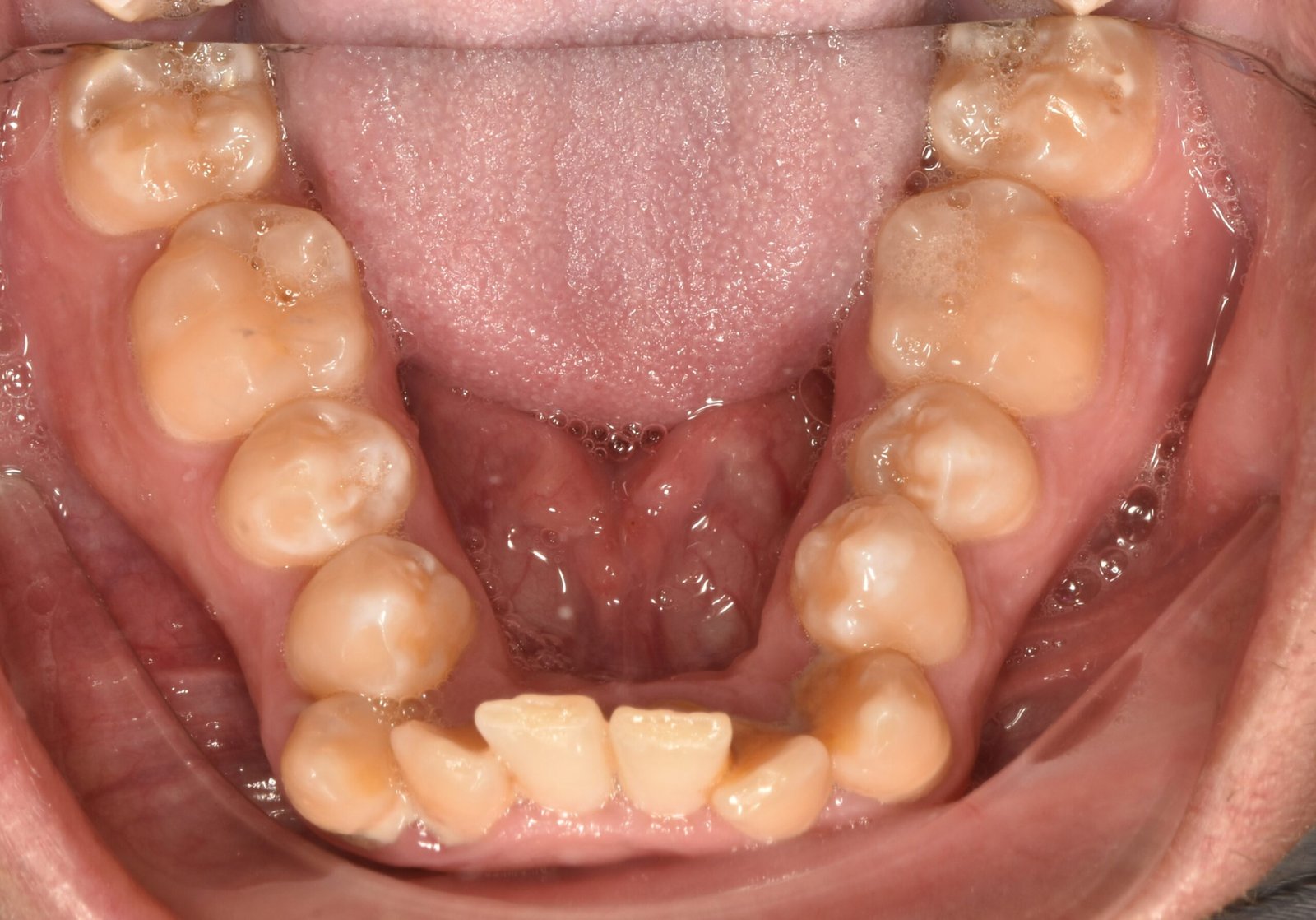
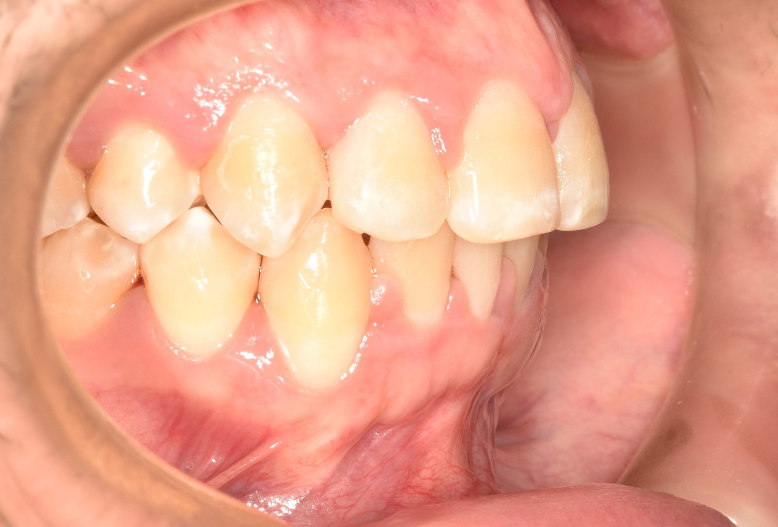
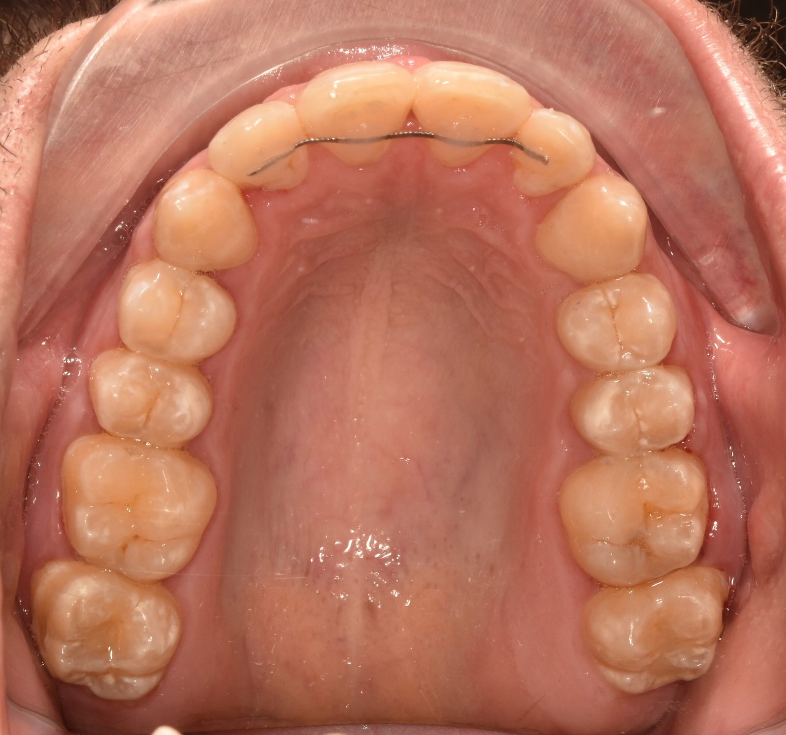
Final del tratamiento:

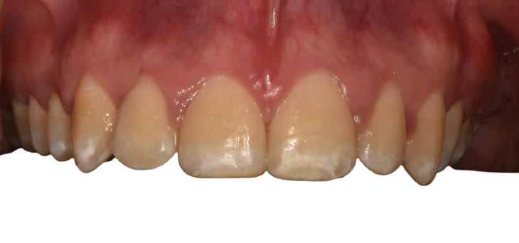
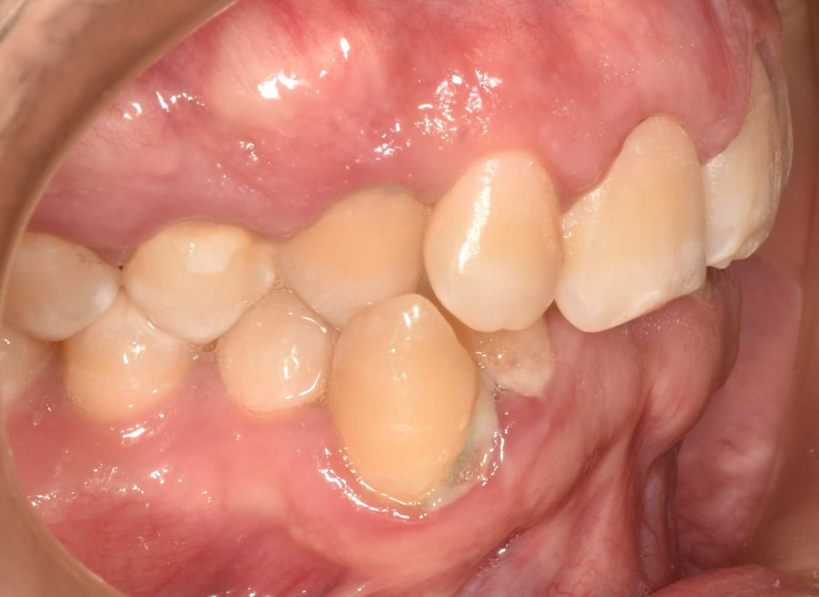
Comparativas - Antes:

DSC_0019
DSC_0017
DSC_0020

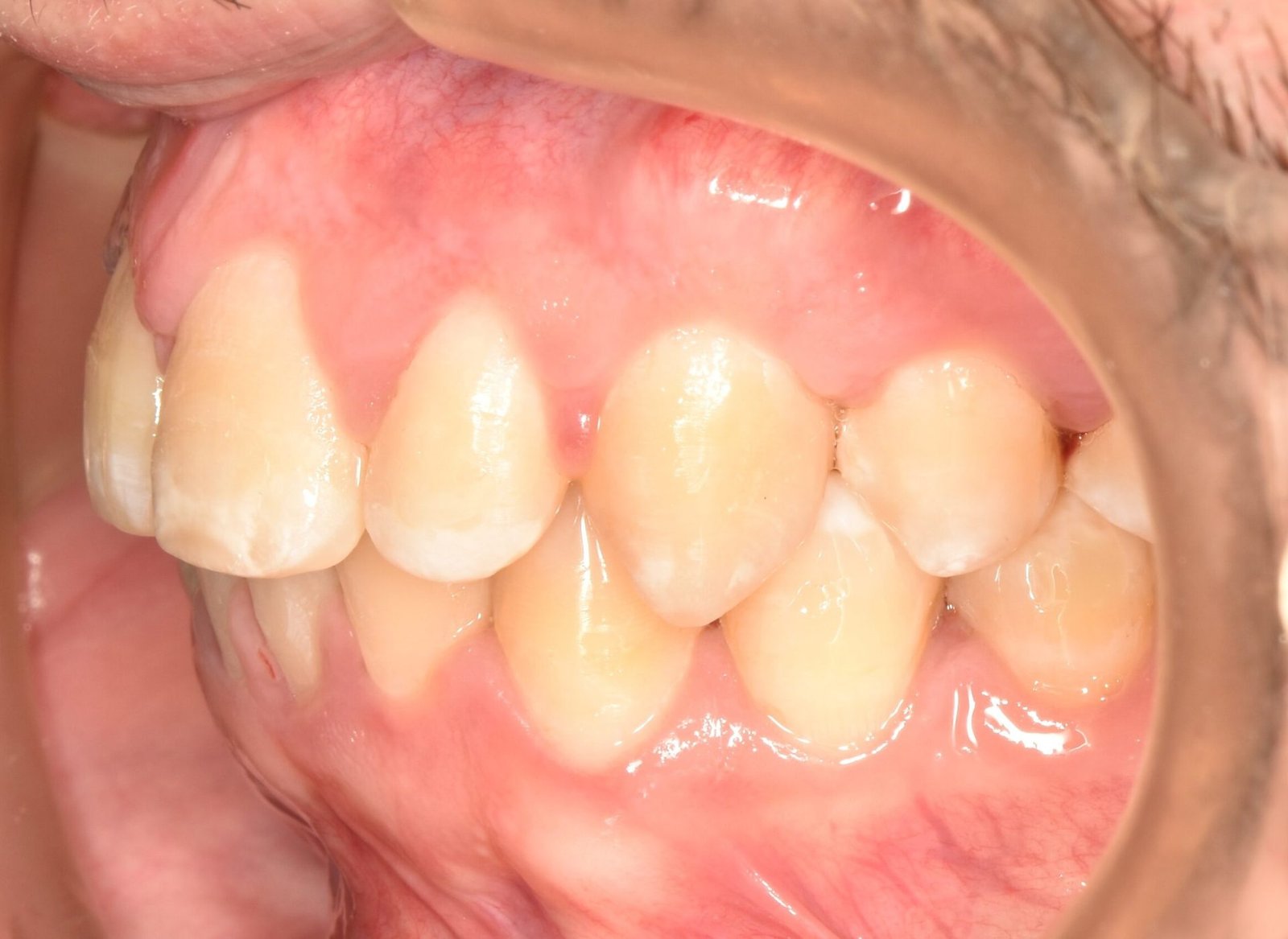
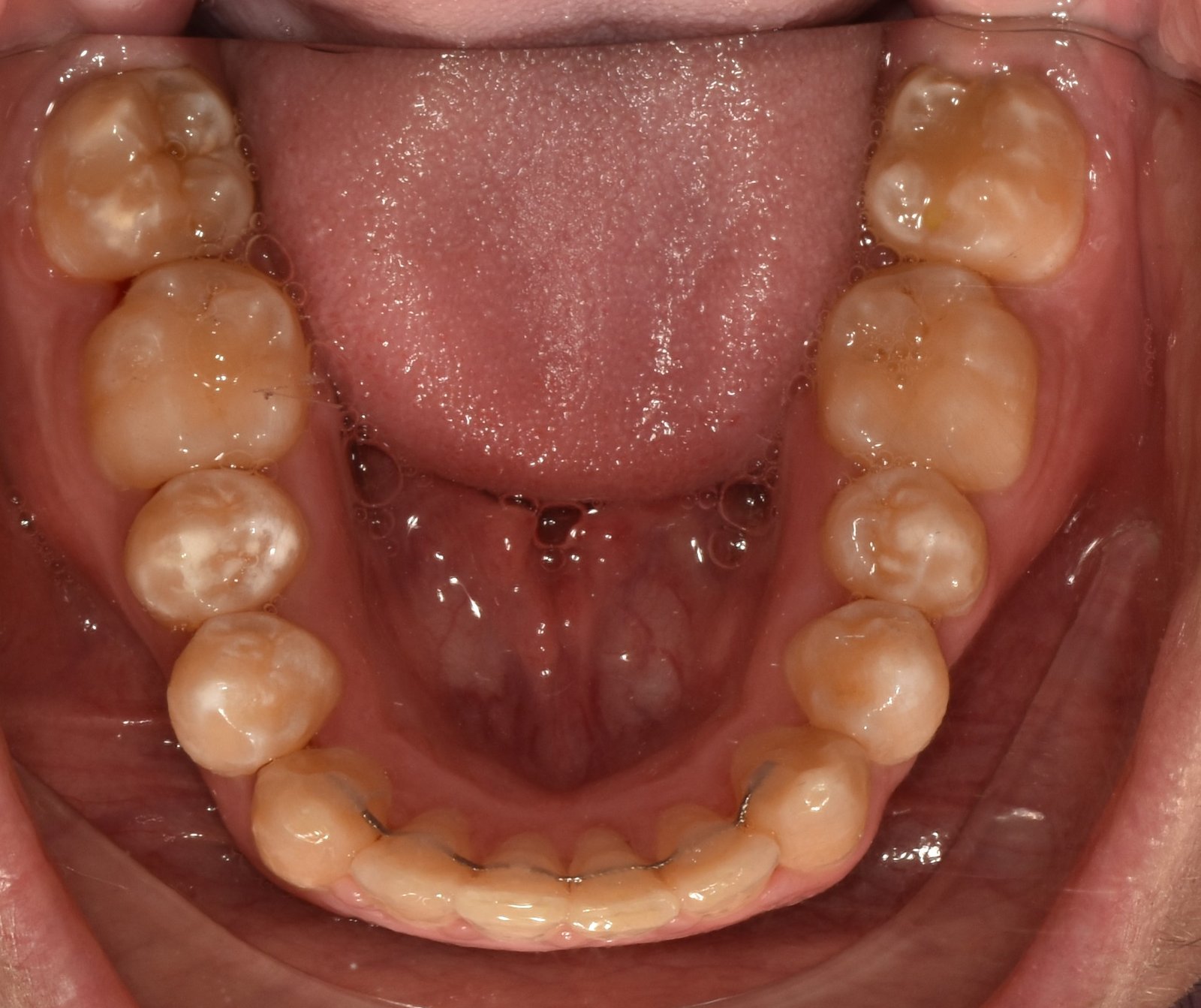
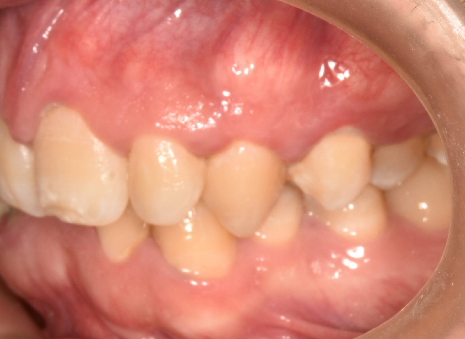
Después:

DSC_0046
DSC_0038
DSC_0051

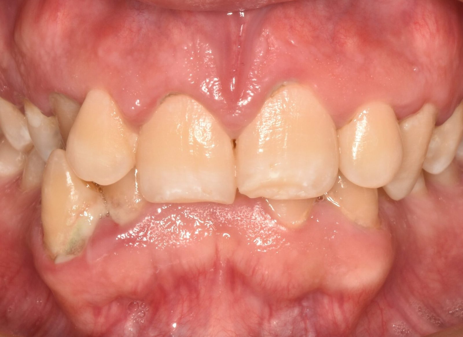
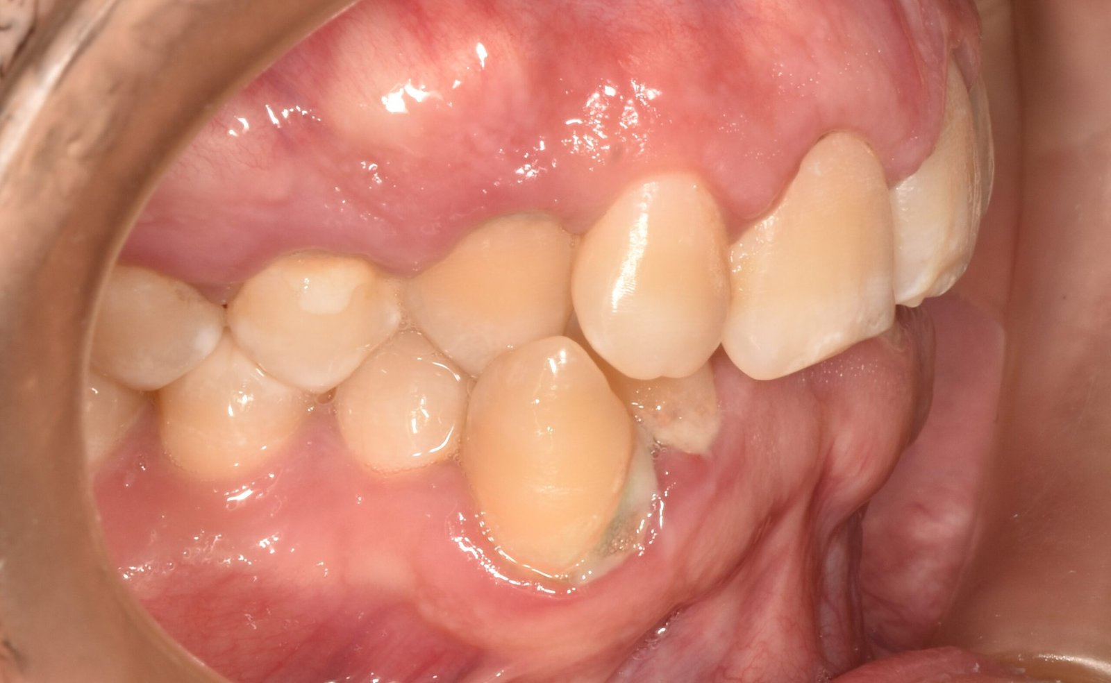
Antes:

DSC_0014
DSC_0016

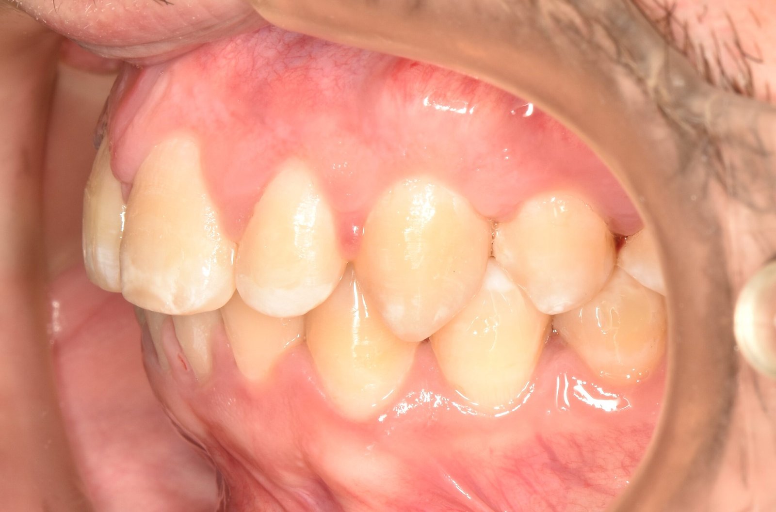
Después:

DSC_0033
DSC_0029

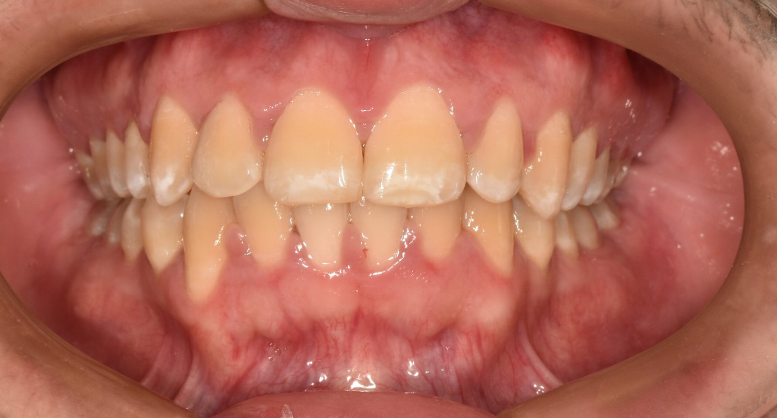
Antes:

DSC_0012-removebg-preview

Después:

DSC_0011-removebg-preview

¿No sabes por dónde empezar?

En Clínica Dental Rebollo te ayudamos a encontrar el tratamiento ideal para ti.
Ya sea que necesites una revisión, ortodoncia invisible, o mejorar la estética de tu sonrisa, estamos aquí para asesorarte.